A cirurgia de luxação do ombro deve ser feita quando há lesões significativas nas estruturas da articulação
Recebe o nome de “luxação do ombro” ou “ombro luxado” a lesão que ocorre quando a cabeça do osso do braço sai de sua posição original na cavidade do ombro. Esse tipo de lesão pode causar dor intensa, inchaço e dificuldade para mover o membro e, em alguns casos, pode requerer cirurgia para corrigir a posição do osso e restaurar a função normal do membro e da articulação.
Índice
O que acontece quando meu ombro sai do lugar?
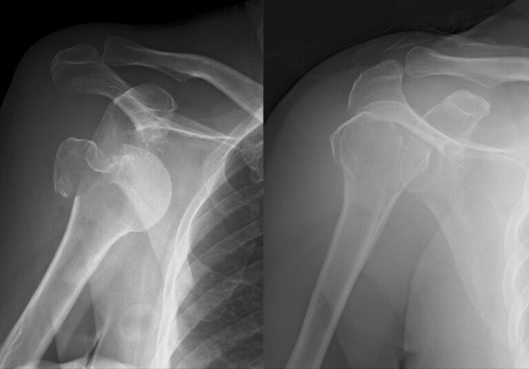
A luxação do ombro ocorre quando a cabeça do úmero, osso do braço, é deslocada de sua posição normal, que é dentro da cavidade glenoide da escápula, osso que forma o ombro. A luxação pode ser classificada em anterior (mais comum), posterior ou inferior, dependendo da direção em que o úmero se desloca em relação à escápula.
Assim, é comum que o paciente tenha:
- Dor intensa no ombro, que pode se estender para o pescoço, braço e mão afetados;
- Incapacidade de mover o braço afetado;
- Sensação de fraqueza no braço;
- Inchaço e hematomas na região;
- Deformidade visível do ombro, como uma protuberância ou uma concavidade anormal;
- Sensação de que o ombro saiu do lugar.
É importante buscar atendimento médico imediatamente se você suspeitar de uma luxação de ombro, pois pode levar a complicações graves, como lesões nervosas ou de vasos sanguíneos. Um médico pode realizar exames físicos e radiológicos para diagnosticar a lesão e recomendar o tratamento adequado.


Tratamento da luxação do ombro
O tratamento da luxação do ombro varia de acordo com a gravidade da lesão. Em casos leves, a imobilização do ombro e a fisioterapia são suficientes para tratar a lesão e restaurar a função normal da articulação. Por isso, quando a luxação do ombro ocorre, é importante procurar atendimento médico imediato para “reduzir” (reposicionar) o osso do braço à sua posição normal na cavidade glenoide.
Além disso, recomenda-se imobilizar o ombro para permitir que o ligamento se cure e evitar novas luxações. Já em casos graves de lesão das estruturas articulares ou quando a luxação é recorrente, a cirurgia pode ser necessária para corrigir o problema, mas para obter bons resultados é preciso seguir todas as orientações médicas durante a recuperação da cirurgia de luxação do ombro.
Como é a cirurgia para a luxação do ombro?
A cirurgia para a luxação do ombro consiste em realocar o osso do braço, o úmero, em sua posição normal na cavidade do ombro. Em alguns casos, esse procedimento pode envolver a reparação ou até reconstrução dos tecidos moles adjacentes para estabilizar a articulação e prevenir novas luxações.
Embora a cirurgia possa ser realizada através de uma incisão aberta, a técnica mais recomendada é a artroscopia, que proporciona uma melhor recuperação da cirurgia de luxação do ombro, pois consiste em pequenas incisões no ombro e na inserção de um pequeno tubo com uma câmera na ponta para visualizar e tratar a lesão.
Como é a recuperação da cirurgia de luxação do ombro?
A recuperação da cirurgia de luxação do ombro é um processo gradual de melhoria clínica e pode variar de pessoa para pessoa. Porém, seguir as recomendações médicas pós-cirúrgicas é fundamental para evitar complicações.
Logo após a cirurgia, é comum que o ombro esteja inchado e dolorido, sendo que o médico pode prescrever analgésicos para aliviar a dor durante a recuperação da cirurgia de luxação do ombro. É importante seguir as instruções quanto ao uso de medicamentos e imobilização do braço, que geralmente é mantido em uma tipoia por algumas semanas para ajudar na cicatrização dos tecidos e prevenir movimentos que possam prejudicar a recuperação.
A fisioterapia é outro aspecto importante da recuperação da cirurgia de luxação do ombro. Geralmente, o fisioterapeuta começa a trabalhar com o paciente logo após o procedimento, ensinando exercícios de movimento passivo para ajudar a evitar a rigidez do ombro. Gradualmente, os exercícios evoluem para movimentos ativos e resistidos, ajudando a fortalecer os músculos e melhorar a estabilidade.
Já o tempo total de recuperação varia entre os pacientes e depende de diversos fatores, como a extensão da lesão, o tipo de cirurgia realizada e o sucesso da fisioterapia. O ortopedista especialista em ombro é quem vai orientar sobre a retomada de atividades cotidianas e esportivas, e para isso ele avalia a evolução da cicatrização interna da lesão, principalmente dos tendões.
Em resumo, a recuperação da cirurgia de luxação do ombro é um processo gradual que envolve imobilização inicial do braço, fisioterapia e acompanhamento médico constante. Assim, é importante seguir as instruções médicas e o plano de fisioterapia para garantir uma recuperação bem-sucedida e prevenir complicações, o que pode levar algumas semanas ou meses.
Fontes:

